뇌졸중 전조증상 느끼면 바로 병원으로 GO
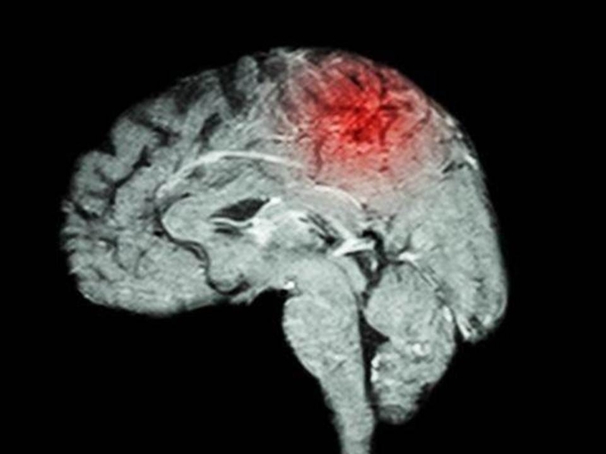
오늘은 생명과도 연결되는 뇌졸중 전조증상에 대해 알려드리겠습니다. 뇌 손상을 유발하는 대표적인 질환이 뇌졸중입니다. 뇌졸중은 뇌혈관이 막히거나 터져서 나타나는 문제입니다. 뇌혈관이 막히면 뇌경색, 뇌혈관이 터지면 뇌출혈이라고 불립니다. 산소 공급이 원활하지 않기 때문에 뇌세포가 손상될 가능성이 매우 높습니다. 뇌세포 손상 정도에 따라 다양한 합병증이 나타납니다.
뇌졸중은 뇌에 피가 통하지 않거나 뇌에 연결된 혈관이 파열되어 발생하는 증상을 말하는데, 이로 인해 뇌의 기능에 장애가 생기고 몸에 장애가 생기거나 심하면 사망에 이르는 질환입니다. 뇌졸중이 발생하면 뇌신경에 이상이 생기기 때문에 손상된 뇌 부위에 연결된 신체 부위도 움직이기 어려워집니다.



뇌졸중 전조증상을 확인하고 치료를 받는 것도 중요하지만 뇌졸중이 발생하지 않도록 사전에 예방하는 것도 중요합니다. 뇌졸중 전조증상에는 심한 두통, 어지러움, 편마비, 발음장애 등이 있습니다. 뇌세포 손상을 최소화하기 위해 골든타임 내 치료에 주목할 필요가 있으며, 이를 위해서는 뇌졸중 전조증상을 반드시 기억해야 합니다.
중심을 잡기 어려운 뇌졸중 전조증상이 나타납니다. 한쪽 팔이나 다리에 힘이 빠져 평형감각에 이상을 보이며 몸이 자꾸 한쪽으로 쏠릴 수 있습니다.
안면마비는 대표적인 뇌졸중 전조증상입니다. 혈관이 막혀 의식을 잃고 쓰러지는데 대답은 없지만 혼자 호흡을 할 수 있고 심장이 두근거려 안심하는 경우가 많은데 이럴 경우 뇌졸중 전조증상이 의심되는 증상으로 바로 병원을 찾아야 한다고 합니다. 급성 뇌졸중 환자는 의식을 잃고 쓰러지는 경우가 많지 않으며, 술에 취한 듯한 모습이 있으면 병원에 가야 합니다.






한쪽 마비가 느껴진다면 이것도 뇌졸중 전조증상이고 뇌출혈일 수 있기 때문에 바로 병원에 가서 검사를 받으시는 것이 좋습니다. 한쪽 마비라고 불립니다. 마비는 몸에 힘이 들어가지 않는 증상으로 얼굴 쪽 마비가 오거나 몸을 좌우 반으로 나눴을 때 왼쪽이나 오른쪽 어느 한쪽 팔다리에 마비가 오거나 무심코 쥐고 있던 것을 떨어뜨리거나 걷다가 아무 이유 없이 쉽게 쓰러지는 경우도 뇌졸중 전조증상 뿐만이 아닌 뇌와 관련된 문제로 의심해 볼 필요가 있습니다.
한쪽 팔과 다리가 점점 무거워지고 움직이지 않음으로써 식사를 하다가 손에 힘이 빠져 수저를 계속 떨어뜨립니다. 몸이 자신의 생각대로 움직이지 않는다고 느끼면 서둘러 내원하는 것이 좋습니다.
뇌졸중 전조증상으로 언어장애가 나타날 수 있습니다. 혈관이 막힌 곳에 따라 다양한 증상이 생기지만 언어 관련 기능에 문제가 생겨 발음이 둔해지고 말을 들어도 이해가 되지 않습니다.혀의 움직임에 이상이 생기기 때문에 말을 해도 상대방이 잘 알아듣지 못하고 단어 전달에 문제가 생긴다면 뇌졸중 전조증상을 의심해봐야 합니다.






엄청난 두통에 시달리는 것도 뇌졸중 전조증상 중 하나입니다. 평생 한 번도 경험하지 못한 심한 두통이 나타나는데 그 두통이 심해서 구토나 실신을 하기도 합니다. 주로 머릿속 혈관이 박동하듯 욱신거리거나 터질 것처럼 아프다고 호소하며 무겁거나 따끔거리는 것은 뇌졸중 증상이 아닙니다.
갑자기 시야가 흐려지거나 잘 보이지 않는 뇌졸중 전조증상이 나타납니다. 시각장애의 경우 갑자기 양쪽 눈이 보이지 않게 되는 증상이 아니라 한쪽 마비와 마찬가지로 한쪽 눈의 시력이 갑자기 떨어지는 증상을 말합니다. 이런 증상은 실제로 시력이 저하된 것이 아니라 뇌신경의 일부가 눌리거나 막혀서 시신경에 영향을 주는 경우라고 할 수 있습니다.






뇌졸중 전조증상으로 감각이상이 생깁니다. 갑자기 몸의 감각이 둔해지고 통증이 느껴지지 않거나 한쪽 팔, 다리에 감각 장애가 생깁니다. 이는 뇌 한쪽에 이상이 생겼을 때 반대편 몸의 기능에 이상이 생기기 때문으로 심하면 통증이 생기거나 저립니다.
뇌졸중의 원인인 대표적인 질환은 고혈압입니다. 뇌경색 환자의 60% 이상, 뇌출혈 환자의 70~80%가 고혈압을 동반하고 다음으로 흔한 원인은 당뇨병으로 뇌졸중 환자의 약 30%에서 나타납니다. 후천적 요인이 뇌졸중 원인의 90%를 차지하며 뇌 어느 부위에 이상이 생겼느냐에 따라 초기 증상이 다양한 양상으로 나타납니다.






50대부터는 주기적으로 뇌검진을 실시해 주시고 가족력이 있거나 만성질환이 있는 경우 40대부터 뇌검진을 실시하는 것이 좋습니다. 현재 뇌졸중 여부, 향후 뇌졸중 발생 가능성 등을 예측할 수 있어 뇌졸중 전조증상 예방에 큰 도움이 됩니다.
특별한 경우를 제외하고 대부분 뇌졸중은 유전되지 않는다고 합니다. 그런데 직계가족 중에 뇌졸중 환자가 있을 경우 그와 비슷한 식습관을 가지고 있을 확률이 높기 때문에 발병 확률이 증가할 수 있다고 합니다. 식습관을 개선하면 충분히 위험 요소를 제거할 수 있습니다.
혈압이 높으면 당연히 피의 흐름이 막히기 때문에 뇌졸중의 위험이 높아집니다. 평소 혈압 관리를 해야 하는데 갑자기 추운 곳으로 이동하거나 갑자기 화를 내거나 무거운 물건을 힘들게 하면 혈압이 상승하므로 주의하시기 바랍니다.
매일 30분 이상 운동은 혈액순환과 체중유지에 도움이 됩니다.



뇌혈관 건강을 위해서 매일 운동을 하는 것이 굉장히 중요한데 웨이트보다는 빨리 걷기나 달리기 같은 유산소 운동을 하는 것이 좋습니다. 매일 30분 운동하는 것이 힘들다면 최소 주 5회 이상은 하는 것이 좋습니다.
뇌졸중 전조증상을 빠르게 파악하기 위해 활용되는 방법이 '퍼스트(FAST)'입니다. Face, Arm, Speech, Time 이니셜을 따서 만든 것으로 미리 알아두면 도움이 됩니다.
Face:얼굴은 빙그레 웃었을 때 양쪽 입각이 비슷한 높이로 올라가지 않고 어느 한쪽 입각이 처지지 않는지 확인해야 합니다.
Arm:팔은 두 팔을 들어 한쪽 팔의 힘이 빠지거나 내려가지 않는지를 봐야 합니다.
Speech:언어 능력은 같은 단어나 문장을 여러 번 반복해서 말했을 때 말이 잘 나오지 않거나 서툴다면 뇌졸중을 의심해봐야 합니다.
Time: 이런 방법으로 스스로 점검해 보고 한 가지라도 이상이 있다면 시간을 지체하지 말고 바로 가족이나 119를 불러 병원에 가야 합니다.


만약에 제가 또는 지인에게 뇌졸중 전조증상이 나타나면 119에 바로 신고해서 뇌졸중 치료가 가능한 상급병원으로 이송하는 것이 급선무라고 할 수 있습니다. 조금이라도 뇌졸중이 의심되면 가능한 한 빨리 치료를 받아야 합니다. 또한 제 가족이라면 지체 없이 가족이 병원에 끌려갈 수 있도록 부탁드립니다.
눈 알레르기에 대하여 10년째 경험
환절기만 되면, 눈 알레르기에 대하여 고민하게 됩니다. 저는 가장 자주 가는 병원이 '안과'입니다. 우리나라는 4계절입니다. 계절이 바뀌는 환절기마다 눈이 간지럽고 따갑고 눈물이 주르륵 흐
comcokr.com
추운 날 심해지는 안구건조증
특히 안구건조증이 찾아오는데 11월부터 봄까지 눈 관리하느라 파우치에 늘 인공눈물을 넣어가지고 다닙니다. 날이 쌀쌀해지면서 온 몸이 건조해지고 있습니다.2022년을 살고 있는 현대인이라면
comcokr.com